Sprunggelenk angebrochen, Siemens Healthineers und das Gesundheitssystem
Zack, passiert. Fuß umgeknickt, angeknackst, OP …
Zum ersten Mal in meiner beruflichen Laufbahn halte ich nun also eine Krankmeldung in der Hand. Bisher hatte ich das Glück, praktisch nie krank zu sein. Selbst eine Grippe war meist nach drei Tagen überstanden, bei uns ging das noch ohne Krankenschein.
Der letzte Arztbesuch (abgesehen von Zahnarzt und Impfungen) liegt tatsächlich 26 Jahre zurück, damals bei der Bundeswehr.
Nun kam alles gebündelt.
Beim Heimlaufen bin ich mit dem Fuß umgeknickt. Der Schmerz war sofort stechend, ich bin auch noch ordentlich hingefallen und habe mich irgendwie nach Hause geschleppt. Umgeknickt bin ich schon öfter, meist war nach ein paar Tagen wieder alles gut. Dieses Mal schwoll der Fuß allerdings ordentlich an. Also blieb mir nichts anderes übrig, als doch einmal einen Arzt aufzusuchen.
Blöd nur: Ich habe keinen Hausarzt.
Das macht die Sache kompliziert. Viele Hausärzte nehmen schlicht keine neuen Patienten mehr an. Bei Doctolib gab es zwar ein paar Termine, aber entweder weit in der Zukunft oder viele Kilometer entfernt, eher ungünstig, wenn man gerade nicht Auto fahren kann.
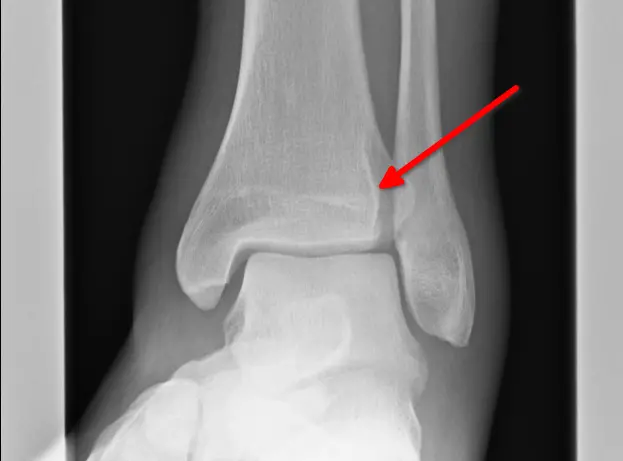
Zum Glück legte meine Freundin bei ihrem Hausarzt ein gutes Wort für mich ein. Also ging es am Montag zunächst in die Praxis, dann zur Radiologie: erst Röntgen, zurück zur Praxis, anschließend noch einmal zum CT. Die ersten Befunde ließen nichts Gutes erahnen, von einem leichten Bruch war die Rede.

Der Arzt organisierte schließlich einen Termin in der Unfallchirurgie im Krankenhaus. Eine Stunde später saß ich dort, erneut beim Röntgen. Und siehe da: Auch das Wadenbein hatte einen Knacks.
Im Krankenhaus kam mir zugute, dass meine Mutter dort arbeitet. Das erleichterte die Orientierung, die Terminfindung und einen Platz an vorderer Stelle beim OP-Plan. So bekam ich relativ kurzfristig einen OP-Termin, der gestern stattfand.
Nun sitze ich hier mit einem dicken Spezialschuh und darf die nächsten sechs Wochen mit Krücken durch den Alltag stolpern. Dazu jeden Tag eine Spritze in den Bauch, selbst gesetzt. Genau mein Ding. 😫
Nicht schön, aber selten
Das Gesundheitssystem funktioniert, das ist die gute Nachricht. Am Ende wurde mir schnell und effektiv geholfen. CT-Aufnahmen und andere Bilder wurden digital sofort übertragen und waren sowohl im Krankenhaus als auch beim Arzt unmittelbar verfügbar.
Schwieriger wird es allerdings, wenn man komplett auf sich allein gestellt ist. Termine zu bekommen ist nicht trivial, und ohne Hausarzt bleibt oft nur der Weg ins Notfallzentrum. Spätestens bei Rezepten oder der Nachversorgung merkt man, wie wichtig ein fester Ansprechpartner ist.

Eine kleine Randnotiz aus Aktionärssicht: Viele der Geräte im Einsatz stammten von Siemens Healthineers. Auf der diesjährigen Hauptversammlung wurde ja bereits angekündigt, dass Aktionäre zusätzliche Aktien erhalten sollen. Schon beeindruckend, was diese Geräte heute alles leisten können.
Die Spritzen stammen übrigens von Pfizer, und dort erwarte ich in den nächsten Tagen meine erste Dividende

Immerhin hat die Sache auch etwas Positives: Ich habe jetzt einen Hausarzt.
Zwei Wochen bin ich zunächst krankgeschrieben. Mit meiner Firma habe ich vereinbart, die kommenden sechs Wochen im Homeoffice zu arbeiten. Komplett nichts zu tun wäre ohnehin nichts für mich, da würde ich hier wahrscheinlich schnell die Wände hochgehen.


Als Fazit bleibt eigentlich nur eine Erkenntnis:
In Zukunft sollte ich wohl etwas besser auf meine Haxen aufpassen.

Mit Arztbesuchen und AU geht’s mir genauso.
Gute Besserung.
Gruß Paul
Danke Dir!
Gute Besserung…
und immer daran denken.. die Gesundheit begleitet dich ein Leben lang.. die Firma solange bis sie dich nicht mehr brauchen. Oder anders gesagt der Friedhof ist voll von Leuten die sich für unersetzlich hielten.
Das magische Dreieck, Gesundheit, Zeit und Geld sollte man nie aus den Augen verlieren. Meistens kann man ur 2 davon haben.
So genug der Moralpredigt, ich hoffe das es bald bergauf geht.
Danke Dir! Ja, wenn es mir wirklich schlecht gehen würde, würde ich jetzt auch nix machen. Nix tun wäre auch nix für mich, da gehe ich irgendwann wie Wände hoch. Zumindest fürs Nebengewerbe würde ich ohnehin was machen. Also paar Stunden für die Firma (etwa 5,5h derzeit am Tag), sind ok. Mach mir Spaß und man hat Kontakt mit den Kollegen. Bin eh mal gespannt wie es weiter geht. Bis Mitte April wird entschieden, wer gehen darf und wer nicht.
Pingback: Rückblick Februar 2026: Aktien, Dividenden, Nebengewerbe – DerPranger
Pingback: Digitalisierung Deutschland: E-Rezept funktioniert! – AndyDunkel.net
Pingback: Hilfe für Röntgen, CT und MRT: Patienten-CD oder ZIP-Download am Computer öffnen – Anleitung - eKiwi-Blog.de